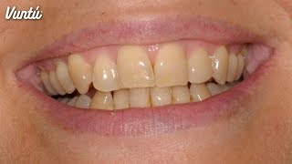
5.Comidas ácidas
Las frutas cítricas, como el limón, naranja, fresa y tomate por mencionar algunas, tienen niveles tan altos de acidez que desgastan el esmalte de tus dientes, haciendo que la capa de abajo llamada dentina quede expuesta y que por lo tanto, tus dientes luzcan de color amarillo. Recuerda entre más desgastados estén, más amarillos se verán.
4. Café
Debido a que la capa externa de los dientes es muy porosa, las bebidas oscuras son fácilmente absorbidas causando un color amarillento en tu dentadura. Y si a eso le agregamos que el café también es una bebida acida ¡imagina todo el daño que le estás causando.
Google+► https://plus.google.com/+badabunOficial
Suscríbete► https://www.youtube.com/user/badabunO...
Facebook► https://www.facebook.com/BadabunOficial
Twitter► https://twitter.com/BadabunOficial
Instagram https://instagram.com/badabunoficial
Sitio Web► http://www.badabun.net/
CONTACTO► [email protected]
BADABUN NETWORK ©
"VOZ" por Victor González
Facebook► https://www.facebook.com/VictorGonzal...
Youtube► https://www.youtube.com/c/victorgonza...
Twitter► https://twitter.com/VictorGOfficial
Instagram► https://instagram.com/VictorGOfficial
5 alimentos que hacen amarillos a tus dientes ─ Badabun
<style>.embed-container { position: relative; padding-bottom: 56.25%; height: 0; overflow: hidden; max-width: 100%; } .embed-container iframe, .embed-container object, .embed-container embed { position: absolute; top: 0; left: 0; width: 100%; height: 100%; }</style><div class="embed-container"><iframe src="https://www.youtube.com/embed/qn6lZV7kiyI" frameborder="0" allowfullscreen></iframe></div>








